Καρκίνος, νεότερα στατιστικά
0
385

Τα στοιχεία για την επίπτωση, τη θνησιμότητα και την επιβίωση του καρκίνου που παρουσιάζει φέτος η American Cancer Society (ACS) για το 2024 μας παρέχουν χρήσιμα συμπεράσματα των τάσεων και επιπτώσεων των νεοπλασματικών ασθενειών. Αναφορικά με την επίπτωση οι νέες διαγνώσεις ξεπερνάνε πλέον τα 2 εκατομμύρια. 2.001.140 νέες περιπτώσεις καρκίνου…
Λεμφοκύτταρα και ηλικιακές μεταβολές
0
743

Η απόλυτη τιμή λεμφοκυττάρων (ALC) αποτελεί βασικό δείκτη της ανοσολογικής λειτουργίας και χρησιμοποιείται καθημερινά για την εκτίμηση της ανοσοεπάρκειας, τη διάγνωση νοσημάτων και επιπλέον με μια απλή γενική αίματος έχουμε μια άμεση και εύκολη ένδειξη της. Ή μήπως όχι; η απάντηση δεν είναι ξεκάθαρη , αν και γενικά μια χαμηλή…
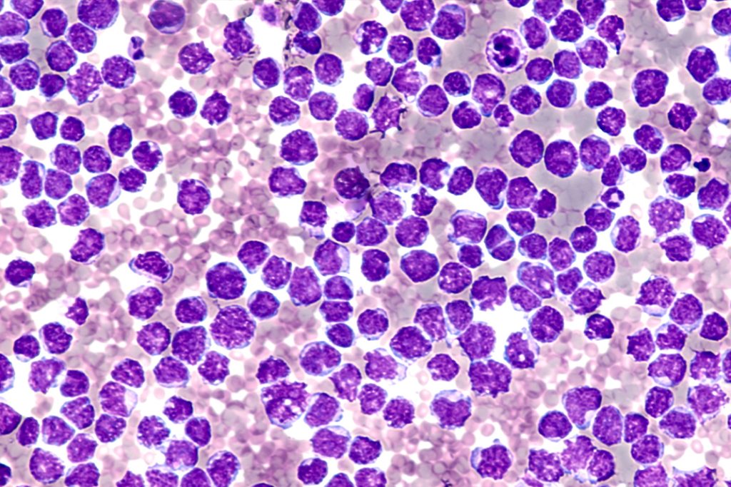
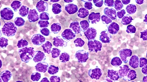
Μελέτη ENRICH, Λέμφωμα Μανδύα
0
700

Η μελέτη ENRICH δημοσιεύτηκε στο The Lancet μόλις πριν λίγες μέρες. Ήταν μια τυχαιοποιημένη, φάσης 2/3 κλινική μελέτη που συνέκρινε τον συνδυασμό ibrutinib και rituximab (IR) με την καθιερωμένη ανοσοχημειοθεραπεία (R-CHOP ή bendamustine–rituximab) σε ασθενείς που δεν είχαν λάβει προηγούμενη θεραπεία, σε ένα από τα πλέον δύσκολα στην αντιμετώπιση λεμφώματα,…
Μυελοδυσπλαστικά Σύνδρομα στην πράξη
0
780

Πρόσφατα δεδομένα από μεγάλη αναδρομική μελέτη στις Ηνωμένες Πολιτείες αναδεικνύουν σημαντική απόκλιση από τις διεθνείς κατευθυντήριες οδηγίες στην θεραπευτική προσέγγιση ασθενών με υψηλού κινδύνου Μυελοδυσπλαστικά Σύνδρομα (MDS). Παρά τη σαφή ένδειξη υπέρ των υπομεθυλιωτικών παραγόντων (HMAs) — αζακιτιδίνη ή δεσιταμπίνη — ως θεραπείας πρώτης γραμμής (κατά κύριο λόγο αλλά όχι…
Οζώδες λέμφωμα και έγκαιρη διάγνωση
0
916

Έχει σημασία η έγκαιρη διάγνωση στο οζώδες λέμφωμα; Μια νέα μελέτη λέει όχι πάντα. Αυτός ο υπότυπος λεμφώματος είναι συνήθως βραδείας εξέλιξης, και πολλοί ασθενείς μπορούν να αντιμετωπιστούν με στρατηγική παρακολούθησης, γνωστή σε εμάς ως watch and wait. Μια νέα μελέτη στο Blood Cancer Journal (Nature, Ιούλιος 2025) αμφισβητεί την…













